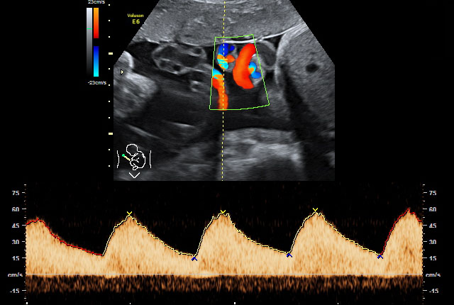
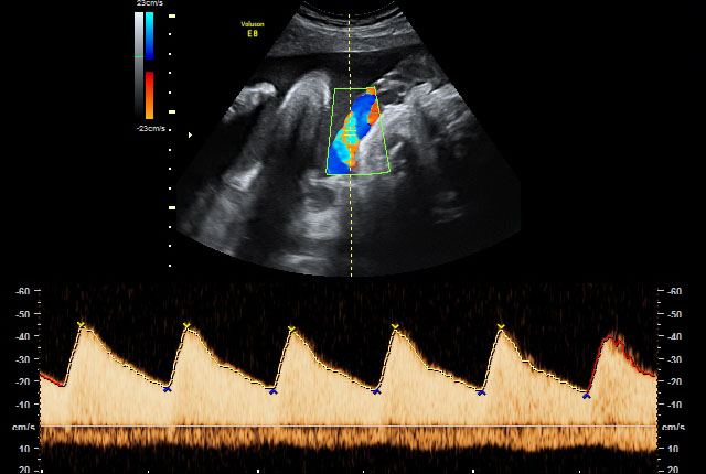
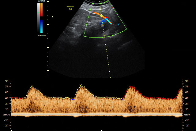
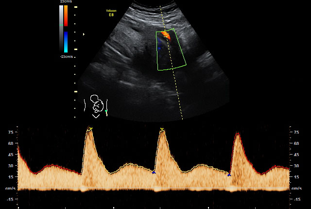
Wenn der Verdacht auf fetale Wachstumsstörungen und/oder fetale Fehlbildungen besteht, wird die Versorgungssituation des Ungeborenen durch eine spezielle dopplersonografische Untersuchung überwacht und die Funktion der Plazenta überprüft. Wir setzen hierbei den hochauflösenden Farbdoppler, also die sogenannte farbkodierte Doppler-Sonografie ein.
Bei der farbkodierten Doppler-Sonografie, einer bestimmten Form der Ultraschalluntersuchung, wird die Richtung des Blutflusses farblich dargestellt, um den Blutfluss in Arterien von dem in Venen unterscheiden zu können. Damit können auch Aussagen über das Ausmaß eventuell vorhandener Durchblutungsstörungen getroffen werden.






